
补牙前

补牙后

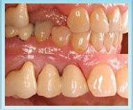
修复前

修复后

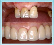
镶牙前(上)镶牙后(下)对比

镶牙前(上)镶牙后(下)对比

镶牙前(上)镶牙后(下)对比

治疗中
口腔科现主要开展的项目有:
口腔内科:各种补牙、龋病、牙髓病、根尖周病、牙周病、口腔粘膜病等。
口腔颌面外科:拔牙、牙槽手术、口腔颌面部炎症,肿瘤、外伤、畸形、颞颌关节病、涎腺病、颌面部神经疾病等。
口腔修复:1、固定义齿:烤瓷牙、铸钢牙、贵金属烤瓷牙、全瓷牙、烤瓷贴面,水晶瓷牙以及各种树脂、塑胶牙等。2、活动义齿:铸钢托牙、快套托牙、塑胶托牙等。
口腔正畸:各类牙齿、牙颌、颌骨畸形的固定矫治和活动矫治、手术矫治等。
口腔美容:美容补牙、美容镶牙、牙齿漂白、超声洗牙等。
口腔种植:无论是对于单个牙和多个牙的缺失,还是全口牙的缺失,都具有丰富的种植修复临床经验;种植中心有专用的种植手术室,配备有进口种植手术设备,全程保护医疗安全。
科室电话:020-82557090
出诊时间:周一至周五上午8:00—12:00;下午14:15—17:15